1. Lậu là gì và vì sao Lậu tiểu buốt?

Bệnh lậu là bệnh lây truyền qua đường tình dục do vi khuẩn Neisseria gonorrhoeae gây ra. Vi khuẩn xâm nhập và gây viêm niệu đạo, làm niêm mạc sưng đỏ, kích ứng, dẫn đến tiểu buốt – tiểu rát, một trong những dấu hiệu điển hình nhất của bệnh.
- Nam giới: Niệu đạo bị tổn thương → tiểu buốt rõ rệt.
- Nữ giới: Cổ tử cung và niệu đạo bị viêm → tiểu rát, đôi khi nhầm với viêm đường tiết niệu.
Lưu ý: Không phải tất cả người mắc lậu đều tiểu buốt, đặc biệt là phụ nữ và lậu họng, lậu hậu môn.
2. Thời gian ủ bệnh và khi nào xuất hiện tiểu buốt

- Thường từ 2–14 ngày sau quan hệ tình dục không an toàn.
- Một số trường hợp triệu chứng xuất hiện muộn hoặc rất nhẹ.
- Tiểu buốt có thể kèm chảy mủ, tiểu gấp, tiểu nhiều lần.
3. Triệu chứng lậu tiểu buốt ở nam giới

Nam giới dễ nhận biết triệu chứng sớm:
3.1. Tiểu buốt – tiểu rát
Cảm giác như đốt, nóng buốt khi đi tiểu.
- Tiểu nhiều lần, cảm giác gấp gáp nhưng tiểu ít.
3.2. Chảy mủ từ niệu đạo
- Màu vàng hoặc xanh, đặc.
- Thường ra nhiều vào buổi sáng (giọt mủ ban mai).
3.3. Đau tinh hoàn hoặc sưng bìu
- Do viêm mào tinh hoặc viêm tinh hoàn.
- Nguy cơ vô sinh nếu không điều trị kịp thời.
3.4. Đau khi xuất tinh hoặc quan hệ
4. Triệu chứng lậu tiểu buốt ở nữ giới

Ở nữ giới, triệu chứng thường mơ hồ và dễ nhầm lẫn:
- Tiểu buốt, tiểu rắt nhẹ
- Khí hư vàng hoặc xanh, mùi hôi
- Đau bụng dưới, đau vùng chậu
- Đau khi quan hệ
- Chảy máu âm đạo bất thường
Lưu ý: 50–80% phụ nữ có thể không có triệu chứng, nhưng vẫn lây bệnh.
5. Tiểu buốt do lậu khác với viêm đường tiết niệu thế nào?
| Tiêu chí | Lậu | Viêm đường tiết niệu |
|---|---|---|
| Mủ | Thường vàng/xanh, đặc | Thường ít hoặc trắng trong |
| Thời gian xuất hiện | 2–14 ngày sau quan hệ | Có thể tự phát, không liên quan quan hệ |
| Triệu chứng kèm | Tiểu gấp, đau khi quan hệ, chảy mủ | Tiểu nhiều lần, nước tiểu đục, đau bụng dưới |
| Nguy cơ biến chứng | Vô sinh, viêm mào tinh, PID | Thường ít nguy hiểm nếu điều trị sớm |
6. Khi nào cần đi khám?

Bạn nên đi khám ngay nếu:
- Tiểu buốt kéo dài hoặc tăng dần
- Tiểu ra mủ vàng/xanh
- Đau khi quan hệ hoặc xuất tinh
- Bạn tình nghi ngờ hoặc mắc lậu
- Tiểu buốt kèm đau bụng dưới hoặc sưng tinh hoàn
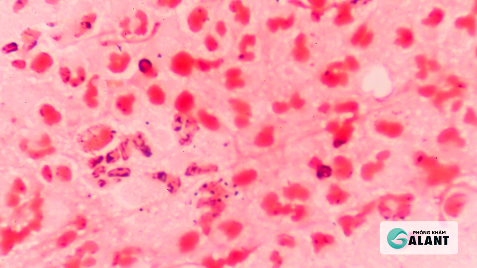
7. Chẩn đoán lậu tại Phòng khám Galant

Các xét nghiệm chính:
- PCR/NAAT lậu – Chlamydia: độ chính xác >95%
- Soi nhuộm Gram: nhanh, hiệu quả với nam giới có mủ
- Nuôi cấy vi khuẩn: xác định kháng thuốc nếu cần
✅ Kết quả nhanh, bảo mật, có tư vấn chuyên khoa.
8. Điều trị lậu tiểu buốt
Theo phác đồ Bộ Y Tế:
- Ceftriaxone 1g tiêm bắp liều duy nhất
- Điều trị kèm Chlamydia (Azithromycin/Doxycycline) nếu cần
💡 Lưu ý:
- Điều trị đồng thời bạn tình
- Kiêng quan hệ 7 ngày sau điều trị
- Tái khám để đảm bảo khỏi bệnh
- Không tự mua thuốc, tránh kháng kháng sinh
9. Bao lâu tiểu buốt hết sau điều trị?
- Nam giới: 1–3 ngày
- Nữ giới: 3–7 ngày
Lưu ý: Triệu chứng giảm không đồng nghĩa vi khuẩn hết hoàn toàn → cần tái khám.
10. Cách phòng ngừa tiểu buốt do lậu
- Quan hệ an toàn, sử dụng bao cao su đúng cách
- Không dùng chung sex toys
- Khám định kỳ nếu quan hệ với nhiều bạn tình
- Điều trị sớm khi có dấu hiệu
- Thông báo bạn tình và điều trị đồng thời
Tiểu buốt là dấu hiệu quan trọng của bệnh lậu, đặc biệt ở nam giới, nhưng không phải ai cũng có. Nếu nghi ngờ, hãy xét nghiệm ngay để phát hiện sớm – điều trị kịp thời – tránh biến chứng nguy hiểm.




