
Xét nghiệm lậu bao lâu cho kết quả chính xác?
Bệnh lậu là một trong những bệnh lây truyền qua đường tình dục phổ biến và dễ lây nhất. Việc xét nghiệm sớm và đúng thời điểm giúp phát hiện bệnh nhanh, tránh biến chứng và hạn chế lây cho…

Bệnh lậu là một trong những bệnh lây truyền qua đường tình dục phổ biến và dễ lây nhất. Việc xét nghiệm sớm và đúng thời điểm giúp phát hiện bệnh nhanh, tránh biến chứng và hạn chế lây cho…

Bệnh lậu là một trong những bệnh lây truyền qua đường tình dục (STD) phổ biến nhất, do vi khuẩn Neisseria gonorrhoeae gây ra. Tuy nhiên, hiện nay vẫn có nhiều người lo ngại lậu lây qua đồ dùng cá…

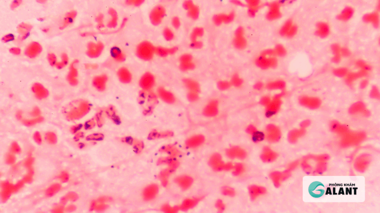
1. Bệnh lậu là gì và vì sao dễ lây lan? Bệnh lậu do vi khuẩn Neisseria gonorrhoeae gây ra – một loại vi khuẩn đặc biệt “ưa” sống tại niêm mạc sinh dục, niệu đạo, cổ tử cung, họng…

1. Bệnh lậu là gì? Bệnh lậu do vi khuẩn Neisseria gonorrhoeae gây ra. Đây là một trong những bệnh lây truyền qua đường tình dục (STDs) phổ biến nhất hiện nay. Vi khuẩn tấn công niêm mạc sinh dục,…

Bệnh lậu là một trong những bệnh lây truyền qua đường tình dục (STDs) phổ biến nhất hiện nay, do vi khuẩn Neisseria gonorrhoeae gây ra. Ngoài quan hệ âm đạo và quan hệ miệng, quan hệ hậu môn (anal…

Lậu lây qua quan hệ miệng là con đường lây truyền phổ biến nhưng ít được chú ý. Nhiều người cho rằng chỉ quan hệ âm đạo hoặc hậu môn mới gây lây nhiễm, trong khi vi khuẩn Neisseria gonorrhoeae…

Xét nghiệm lậu là phương pháp duy nhất để chẩn đoán chính xác bệnh lậu, một bệnh lây truyền qua đường tình dục (STI) do vi khuẩn Neisseria gonorrhoeae gây ra. Lậu có thể gây biến chứng nghiêm trọng như…

Bệnh lậu (Gonorrhea) là bệnh lây truyền qua đường tình dục (STI/STD) do vi khuẩn Neisseria gonorrhoeae gây ra. Đây là một trong những bệnh phổ biến nhất hiện nay và có thể gặp ở mọi giới, đặc biệt ở…

1. Vì sao lậu gây đau khi quan hệ? Lậu (Gonorrhea) do vi khuẩn Neisseria gonorrhoeae gây ra, tấn công niêm mạc ở: Khi vi khuẩn gây viêm nặng, niêm mạc sẽ: Điều này khiến bất kỳ tác động ma…

1. Lậu chảy máu sinh dục là gì? Lậu chảy máu sinh dục là tình trạng vi khuẩn Neisseria gonorrhoeae gây viêm nặng tại niệu đạo, cổ tử cung hoặc âm đạo, khiến niêm mạc tổn thương và dễ chảy…

1. Lậu ở hậu môn là gì? Lậu ở hậu môn (Anal Gonorrhea) là tình trạng nhiễm vi khuẩn Neisseria gonorrhoeae tại trực tràng và vùng hậu môn. Đây là dạng bệnh lậu phổ biến ở: Một điểm nguy hiểm…

1. Lậu không triệu chứng là gì? Lậu không triệu chứng (Asymptomatic Gonorrhea) là tình trạng người nhiễm vi khuẩn Neisseria gonorrhoeae nhưng không xuất hiện bất kỳ biểu hiện lâm sàng rõ rệt nào. Người bệnh cảm thấy khỏe…