1. Lậu và các bệnh STD là gì?
Bệnh lậu

Bệnh lậu do vi khuẩn Neisseria gonorrhoeae gây ra, lây chủ yếu qua quan hệ tình dục không an toàn. Lậu có thể xuất hiện ở:
- Niệu đạo
- Cổ tử cung
- Hậu môn
- Họng
- Mắt
Lậu là một trong những bệnh lây truyền qua đường tình dục (STDs) phổ biến nhất ở Việt Nam.
STD (Sexually Transmitted Diseases)

STD là nhóm bệnh lây qua đường tình dục, bao gồm cả vi khuẩn, virus và ký sinh trùng.
Các STD phổ biến:
- Lậu (Gonorrhea)
- Chlamydia
- Giang mai
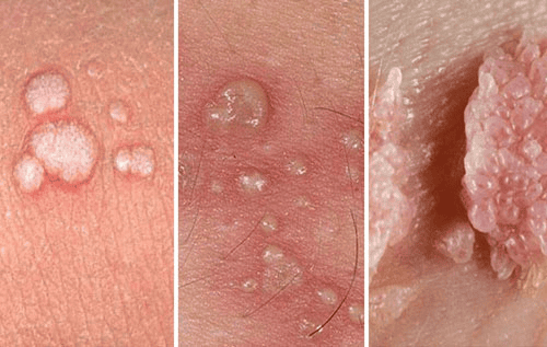
- HPV (sùi mào gà)
- Herpes (HSV)
- HIV
- Trichomonas
- Viêm gan B, C
2. Mối liên hệ giữa lậu và các bệnh STD
2.1. Lây qua cùng đường truyền

Lậu và các STD khác đều lây chủ yếu qua:
- Quan hệ không bảo vệ (âm đạo – hậu môn – miệng)
- Tiếp xúc trực tiếp với dịch tiết sinh dục
- Dùng chung sex toys
- Từ mẹ sang con (một số bệnh như lậu, HIV, giang mai)
2.2. Dễ nhiễm đồng thời nhiều STD

Một người mắc bệnh lậu có nguy cơ cao đồng nhiễm:
- Chlamydia (40–50% trường hợp)
- Giang mai
- HIV
- Herpes
Niêm mạc bị tổn thương do lậu làm tăng khả năng virus/bacteria khác xâm nhập.
2.3. Lậu làm tăng nguy cơ lây HIV
Viêm niệu đạo – cổ tử cung do lậu khiến lượng tế bào miễn dịch tập trung nhiều tại vùng tổn thương → dễ bị HIV xâm nhập nếu tiếp xúc.
3. Dấu hiệu nhận biết lậu và các STD khác
3.1. Triệu chứng của lậu

- Tiểu buốt – tiểu rát
- Chảy mủ vàng/xanh ở dương vật hoặc âm đạo
- Đau khi quan hệ
- Sưng tinh hoàn
- Đau họng sau oral sex
- Chảy dịch trực tràng
3.2. Một số dấu hiệu STD khác

- Chlamydia: Ra dịch trắng, đau bụng dưới, tiểu buốt
- Giang mai: Săng giang mai, phát ban lòng bàn tay – bàn chân
- Herpes: Mụn nước đau rát ở môi hoặc bộ phận sinh dục
- HPV: Mọc u nhú (sùi mào gà)
- HIV: Sốt nhẹ, phát ban, mệt mỏi kéo dài
- Trichomonas: Dịch âm đạo mùi hôi, xanh vàng
- Viêm gan B/C: Mệt mỏi, vàng da, đau hạ sườn phải
Lưu ý: Nhiều STD không có triệu chứng, đặc biệt ở nữ.
4. Biến chứng nguy hiểm nếu không điều trị
Lậu có thể gây:

- Viêm vùng chậu (PID) → vô sinh nữ
- Viêm tinh hoàn – mào tinh → vô sinh nam
- Viêm khớp do lậu
- Lậu mắt
- Nhiễm trùng huyết
Các STD khác có thể dẫn đến:

- HPV → ung thư cổ tử cung, hậu môn, họng
- Herpes → tái phát nhiều lần
- Giang mai → tổn thương tim – thần kinh
- HIV → suy giảm miễn dịch, nhiễm trùng cơ hội
- Chlamydia → vô sinh ở cả nam và nữ
5. Chẩn đoán lậu và các STD
Phòng khám Galant cung cấp xét nghiệm:
- PCR lậu – Chlamydia
- Xét nghiệm giang mai (RPR/TPHA)
- HIV miễn dịch, HIV nhanh
- PCR HPV
- HSV IgG/IgM
- Viêm gan B, C
Kết quả nhanh, bảo mật, có tư vấn sau xét nghiệm.
6. Điều trị lậu và STD
Lậu
Theo phác đồ Bộ Y Tế:
- Ceftriaxone 1g tiêm bắp liều duy nhất
(kết hợp Azithromycin nếu nghi ngờ đồng nhiễm Chlamydia)
Các STD khác tùy tác nhân:
- Chlamydia → Azithromycin/Doxycycline
- Giang mai → Penicillin G
- Herpes → Acyclovir
- Trichomonas → Metronidazole
- HPV → đốt sùi, bôi thuốc, theo dõi
- HIV → ARV (điều trị suốt đời)
Việc điều trị luôn cần:
✔ Đúng phác đồ
✔ Đủ liều
✔ Điều trị cả bạn tình
✔ Tái khám để kiểm tra khỏi bệnh
7. Cách phòng ngừa lậu và các STD

- Dùng bao cao su đúng cách mỗi lần quan hệ
- Không dùng chung đồ chơi tình dục
- Khám định kỳ 3–6 tháng/lần nếu có hoạt động tình dục
- Tiêm phòng HPV và viêm gan B
- Điều trị sớm khi có dấu hiệu bất thường
- Quan hệ chung thủy, hạn chế nhiều bạn tình
8. Khi nào nên đến Phòng khám Galant?

Bạn nên đến khám nếu:
- Có quan hệ không an toàn trong 14 ngày qua
- Có triệu chứng nghi ngờ STD
- Bạn tình thông báo họ mắc STD
- Muốn xét nghiệm tổng quát các bệnh lây truyền
Galant có đầy đủ dịch vụ xét nghiệm – điều trị theo chuẩn y khoa, bảo mật tuyệt đối.



